إذا كنت تتساءل عن خلع ضرس العقل ومتى يصبح ضروريًا، فأنت لست وحدك. يظهر هذا الضرس عادة بين سن 17 و25 عامًا، وقد يسبب مشكلات خطيرة إذا لم يجد مساحة كافية للظهور. في هذا الدليل الشامل، نوضح أهم العلامات التي تحتم الإزالة، وطرق تخفيف الألم قبل زيارة طبيب الأسنان، وخطوات الجراحة، وكيفية التعافي بسرعة، بالإضافة إلى الإجابة عن السؤال الشائع: هل يجب خلع جميع ضروس العقل أم الضروس المسببة للمشاكل فقط؟
متى يجب خلع ضرس العقل؟ ٥ علامات تحتم الإزالة
-
ألم مستمر أو متكرر في آخر الفم لا يهدأ بالمسكنات.
-
تورم اللثة أو ظهور جيب لثوي ملتهب حول الضرس.
-
تزاحم الأسنان الأمامية بسبب الضغط الخلفي.
-
تسوس أو تآكل السن المجاور لضرس العقل بسبب صعوبة التنظيف.
-
التهاب متكرر في اللثة (Pericoronitis) مصحوب برائحة فم كريهة.
بحسب موقع ويب طب فإن إهمال هذه العلامات قد يؤدي إلى خراج أو كيس مرضي حول جذر الضرس، لذا يُفضل استشارة طبيب أسنان مختص فور ظهور أي منها.
آلام ضرس العقل: طرق لتخفيف الألم قبل زيارة طبيب الأسنان
أولاً، جرب المضمضة بمحلول ماء دافئ وملح مرتين إلى ثلاث مرات يوميًا. ثانياً، استخدم كمادات باردة على الخد لمدة عشر دقائق لتهدئة التورم. علاوة على ذلك، يمكن تناول مسكنات غير ستيرويدية مثل الإيبوبروفين بعد استشارة الطبيب. ومع ذلك، تذكّر أن هذه الحلول مؤقتة ولا تغني عن الفحص العاجل.
ماذا تتوقع أثناء وبعد خلع ضرس العقل؟ دليل خطوة بخطوة
-
التخدير الموضعي أو الكلي حسب الحالة.
-
شق اللثة لكشف الضرس إذا كان مطمورًا.
-
تقطيع الضرس إلى أجزاء صغيرة لتقليل الضغط على العظم.
-
إغلاق الجرح بغرز قابلة للامتصاص غالبًا.
-
وصفة مسكنات ومضاد حيوي عند الحاجة.
بعد الخلع مباشرة، ضع شاشًا طبيًا على مكان الجرح واضغط بلطف لمدة 30 دقيقة. وأبقِ الرأس مرفوعًا لتقليل النزيف.
التعافي بعد خلع الأسنان: نصائح لتسريع الشفاء وتجنب المضاعفات
-
اليوم الأول: تجنب المضمضة القوية أو استخدام الشفاط.
-
اليوم الثاني: ابدأ الغرغرة بماء دافئ وملح بلطف.
-
تناول أطعمة لينة مثل الشوربة والزبادي؛ وبالإضافة إلى ذلك، تجنب الأطعمة الساخنة أو الحارة.
-
امتنع عن التدخين 48 ساعة على الأقل؛ لأنه يبطئ تكوّن الخثرة الدموية.
-
أخيرًا، استخدم كمادات باردة بالتناوب مع كمادات دافئة بعد 48 ساعة لتقليل الورم والتشنج العضلي.
للأسف، تجاهل إرشادات ما بعد الجراحة قد يؤدي إلى ما يسمى «التجويف الجاف». لذلك، اتبع نصائح طبيبك بحذافيرها واحجز فحص المتابعة خلال أسبوع في عيادتنا عبر صفحة حجز الموعد لضمان التئام سليم.
هل يجب خلع جميع ضروس العقل أم خلع تلك التي تسبب المشاكل فقط؟
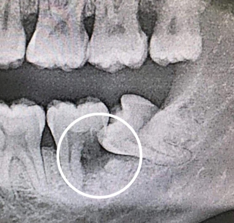
الجواب يعتمد على تقييم الأشعة السينية ووضعية كل ضرس. في كثير من الحالات، يُنصح بخلع الضروس المطمورة أو المنحرفة قبل ظهور الأعراض لتجنب المضاعفات المستقبلية. ومع ذلك، إذا كان الضرس بزوغه سليماً ولا يسبب ازدحاماً أو التهاباً، فقد يوصي الطبيب بمراقبته فقط.
خاتمة
باختصار، إن خلع ضرس العقل إجراء شائع وآمن عند إجرائه على يد جراح فم ذي خبرة. التعرف المبكر إلى علامات الخلع، واتباع تعليمات العناية بعد الجراحة، هما مفتاحك لتجربة مريحة وتعافٍ سريع. هل تعاني من أحد الأعراض المذكورة؟ تواصل مع Tooth-Tastic اليوم واحجز استشارتك المجانية لتقييم حالتك بدقة واتخاذ القرار الأفضل لصحة فمك.


